How Do You Know If Your Growth Plates Are Closed

How Do You Know If Your Growth Plates Are Closed. How To Know if Your Child’s Growth Plates Are Closed FamilyEducation However, it is important to note that individual variations can occur But, if they don't see any dark lines at the ends of the bones, this indicates that the growth plates are closed and your child has reached their full adult height.

How To Know if Your Child’s Growth Plates Are Closed FamilyEducation
How To Know if Your Child’s Growth Plates Are Closed FamilyEducation from www.familyeducation.com

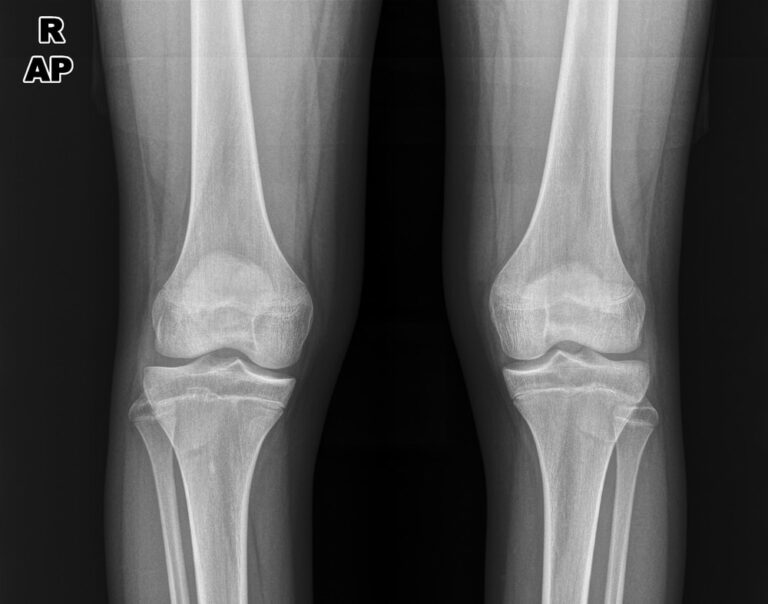
There are usually two growth plates in each long bone If your child's pediatrician sees growth plates on an X-ray, whether it's of their wrist, their leg, or any bone, they can assume that your kid still has some growing to do

How To Know if Your Child’s Growth Plates Are Closed FamilyEducation

Consulting with a healthcare professional is the best way to determine the specific closure of growth plates for. There are usually two growth plates in each long bone If a girl reaches puberty before 8 years old or if a boy reaches puberty before 9 years old, it is called early puberty

Childhood and Adolescent Pathology Series Part 1 Growth Plate Fractures BeFit Training Physio. However, in some cases, growth plates may partially reopen due to certain medical conditions or interventions Cultural and Lifestyle Factors Affecting Growth Plate Closure

What is the Growth Plate?. At what age do growth plates typically close? Growth plates typically close between the ages of 14 and 19 for girls, and between the ages of 16 and 21 for boys But, if they don't see any dark lines at the ends of the bones, this indicates that the growth plates are closed and your child has reached their full adult height.